Suffering from Scoliosis in Austin TX?

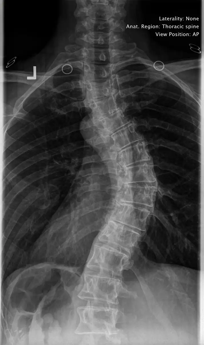
Scoliosis describes abnormal curves of the spine greater than ten degrees. These abnormal curves are laterally displaced, and symptomatic of a greater systemic disease. Scoliosis affects most of the major systems of the body: nervous, digestive, musculoskeletal, endocrine, immune, and can cause severe respiratory and cardiovascular problems. This is due to altered function of the spine, causing interference to the spinal cord and exiting spinal nerves. Poor posture, such as slumped shoulders, a high shoulder, or a high hip can indicate scoliosis or curvature of the spine. Thankfully, if the initial curvature is cared for proactively, the chiropractors in Austin TX are able to keep it from developing scoliosis.
Chiropractic Care for Scoliosis in Austin TX
Although there are different kinds of scoliosis, idiopathic (unknown cause) scoliosis accounts for approximately 80 – 85% of cases. Many cases of scoliosis start with a short leg, even as little as ¼ to ½ inch, which then causes the pelvis to drop down, and the spine to curve in compensation. About 1 out of 5 people have a significant short leg. The only way to find out for sure if you have a short leg is to take a specific standing X-ray of the spine and pelvis. You cannot determine a short leg by measuring a person’s leg length with a tape measure. There are too many variables.
In some cases, we find that a child has had a trauma that caused the spine to subluxate (misalign). The body’s attempt to compensate will cause the scoliosis. While 4% of the general population (male and female) has scoliosis, teenage girls have 8 times more scoliosis than boys. That’s why it is so important that children have their spines checked regularly - at least once a year. The adage “as the twig is bent, so grows the tree” is never truer than with a young person’s spine.
Abnormal types of postural loads such as carrying a heavy backpack or purse can also alter the normal curvature of the spine. The spinal vertebrae will deform under repetitive, asymmetrical pressure over time. Wolff's Law states that bone will remodel to increased stress over time. It is difficult to accurately predict how much a curve will progress over time in the untreated individual. We do know, however, that scoliosis does not correct itself, and requires active care.
How Can We Help?
If you or someone you know has scoliosis, the first step is to come in for an assessment to determine the appropriate correction. At Chiropractic Arts Center of Austin, P.C., our approach is very specific and effective. We will begin with a detailed consultation, examination, and x-rays (except in inappropriate situations), so that we know exactly what your problem is and the cause. We would also rule out any conditions which would not be appropriate for care in our office and direct you to the appropriate type of provider if necessary. We want to know what your goals are and what you would like to do that you are currently missing out on. With the information we find upon your visit, combined with your goals, we will create a customized care plan to correct the problem.
Rather than watchful waiting, we typically start adjusting even slight scoliotic curves in a child or adult as early as possible, when they are more easily corrected. Chiropractic care is a gentle, non-invasive way to correct many postural distortions, including scoliosis. We use the protocols of Chiropractic BioPhysics with specific adjustments, customized exercises, and home tractioning to accomplish correction. In any cases where the scoliosis has progressed beyond what we can help with, we would refer to the appropriate provider. At Chiropractic Arts Center of Austin, P.C., our goal is to correct any abnormal curvature of the spine and help you return to full function and vitality as quickly as possible.
Feel free to contact our chiropractic team at Chiropractic Arts Center of Austin, P.C. in Austin TX if you want more information and be sure to take advantage of our new patient special today!
Monday
9:00am - 1:00pm
3:00pm - 6:00pm
Tuesday
9:00am - 1:00pm
Wednesday
9:00am - 1:00pm
3:00pm - 6:00pm
Thursday
9:00am - 1:00pm
Friday
Closed
Saturday & Sunday
Closed
Chiropractic Arts Center of Austin, P.C.
4131 Spicewood Springs Rd L-3
Austin, TX 78759